肩・首・腰の痛みを根本から改善いたします。
あきらめる前に当院へお越しください。
レントゲンでは骨折がはっきりしないことが多い肋骨骨折。
エコー検査を用いて肋骨骨折を観察すると、骨皮質の段差を確認することができる。

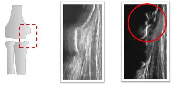
オスグットは脛骨粗面の部分が剥離骨折をするスポーツ傷害です。成長期の子供に多く起こります。
オスグットは成長期に治しておかないと膝の部分が突出してしまい、大人になっても運動をすると痛みが出てしまうようになってしまいます。
痛みが無くなったからといって運動を再開すると痛みが再発してしまいます。
エコー検査で経過観察をすることで、骨の修復の段階を確認でき、再発を防止することができます。

成長期に起こる野球肘の1つである上腕骨内側上顆剥離骨折は少年野球の選手に多く起こるスポーツ傷害です。
肘の内側に痛みがあり、投球することができなくなる傷害です。
野球肘は成長期にしっかり治しておかない骨が変形してしまい、将来的に手術をすることになってしまうこともあります。
成長期に起こる野球肘(上腕骨内側上顆剥離骨折)は経過をしっかり観察して治療していくことが大切です。
痛みが無くなり投球を開始しても再発することが多くあります。
その原因は骨の癒合が終わっていないまま投球を開始したことにあります。
エコー検査を使用することで再発を防止することができます。


上記の例では1ヶ月で骨の癒合が始まったことが確認できます。3ヶ月で骨の癒合が最終段階にあるのでキャッチボールを開始し、4ヶ月で骨の癒合が終了したので試合に参加しました。その後、肘が痛くなることはなく野球を続けています。
経過観察を定期的に行うことで、固定の解除やリハビリ、運動の開始を判断することができ、早期復帰を目指すことができます。
くまはら接骨院では、エコー検査を行い症状の原因究明や病態を正確に把握する事が、とても重要だと考えております。
その為、観察するエコー検査機器は常に最先端の装置を導入し、より正確な評価ができる環境が整っております。。
04-2941-6056
| 月 | 火 | 水 | 木 | 金 | 土 | 日 | |
| 午前 | ○ | ○ | ○ | ×️ | ○ | ○ | × |
| 午後 | ○ | ○ | ○ | ×️ | ○ | ○ | × |
04-2966-5876
| 月 | 火 | 水 | 木 | 金 | 土 | 日 | |
| 午前 | ○ | ○ | ○ | ×️ | ○ | ○ | × |
| 午後 | ○ | ○ | ○ | ×️ | ○ | ○ | × |
04-2935-3455
| 月 | 火 | 水 | 木 | 金 | 土 | 日 | |
| 午前 | ○ | ○ | ○ | ×️ | ○ | ○ | ○ |
| 午後 | ○ | ○ | ○ | ×️ | ○ | ○ | ○ |
04-2968-9235
| 月 | 火 | 水 | 木 | 金 | 土 | 日 | |
| 午前 | ○ | ○ | ○ | ×️ | ○ | ○ | ○ |
| 午後 | ○ | ○ | ○ | ×️ | ○ | ○ | ○ |